Aquí podrás descubrir historias de transformación dental que destacan el impacto de nuestros tratamientos, ayudando a nuestros pacientes a recuperar su confianza y sonrisas saludables. A través de imágenes comparativas y descripciones, mostramos cómo nuestro equipo de especialistas ha mejorado la salud bucal y la estética de nuestros pacientes. Estos casos ilustran el compromiso de la clínica con la excelencia y la calidad.
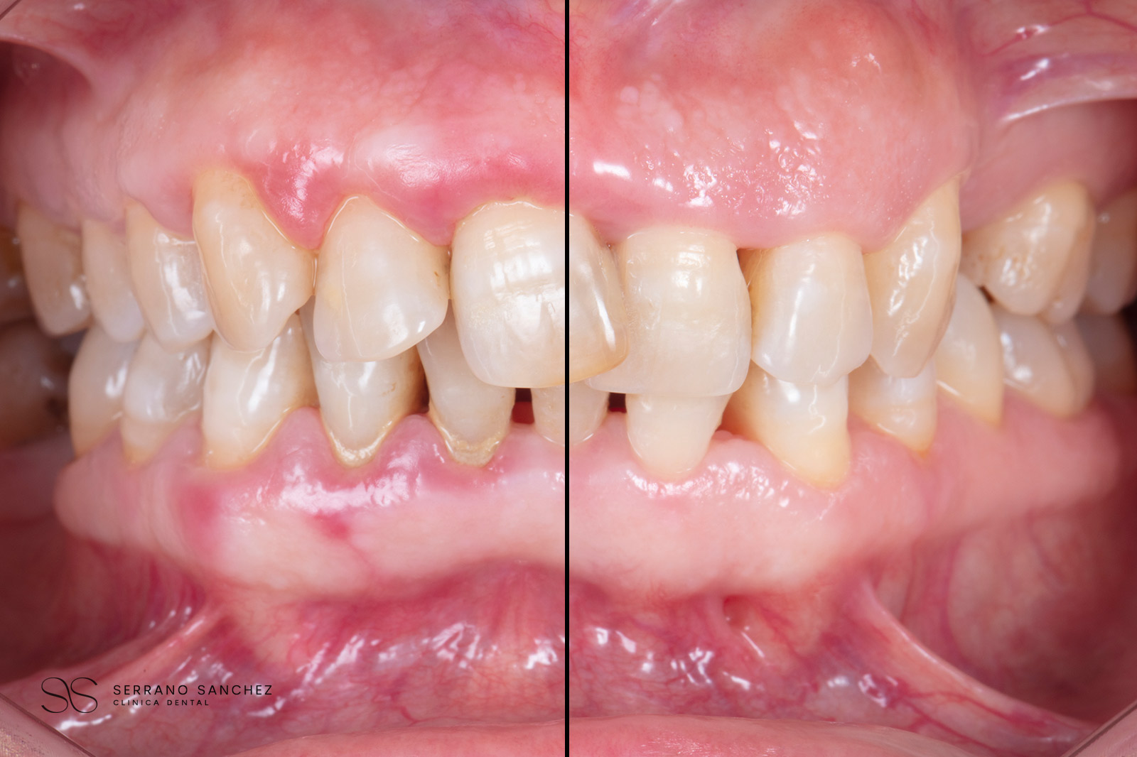
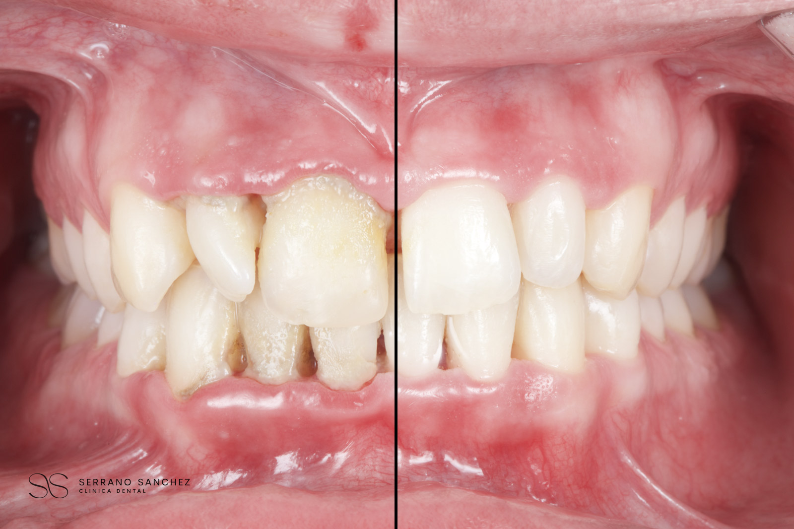
Caso 1: Tratamiento periodontal
Antes / Después
Caso 2: Tratamiento periodontal
Antes / Después
Caso 3: Tratamiento periodontal
Antes
Después
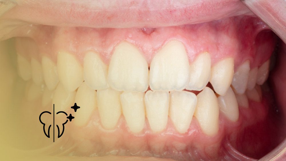
Caso 4: Tratamiento periodontal (Gingivitis)
Antes
Después
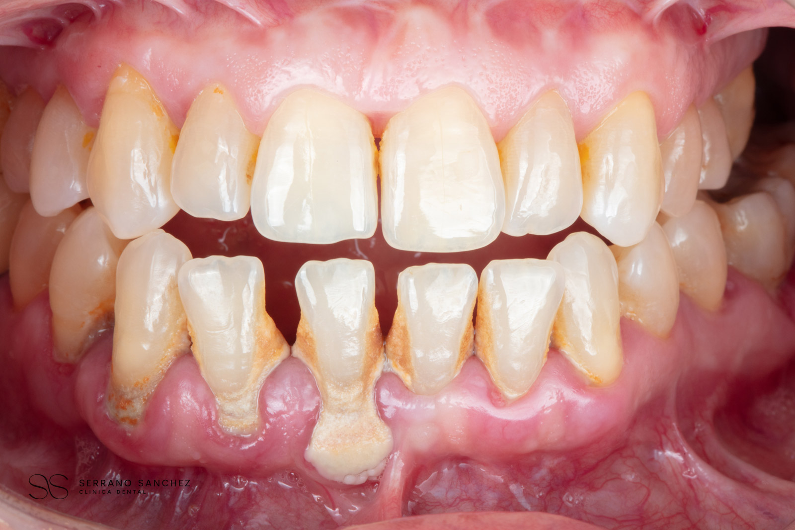
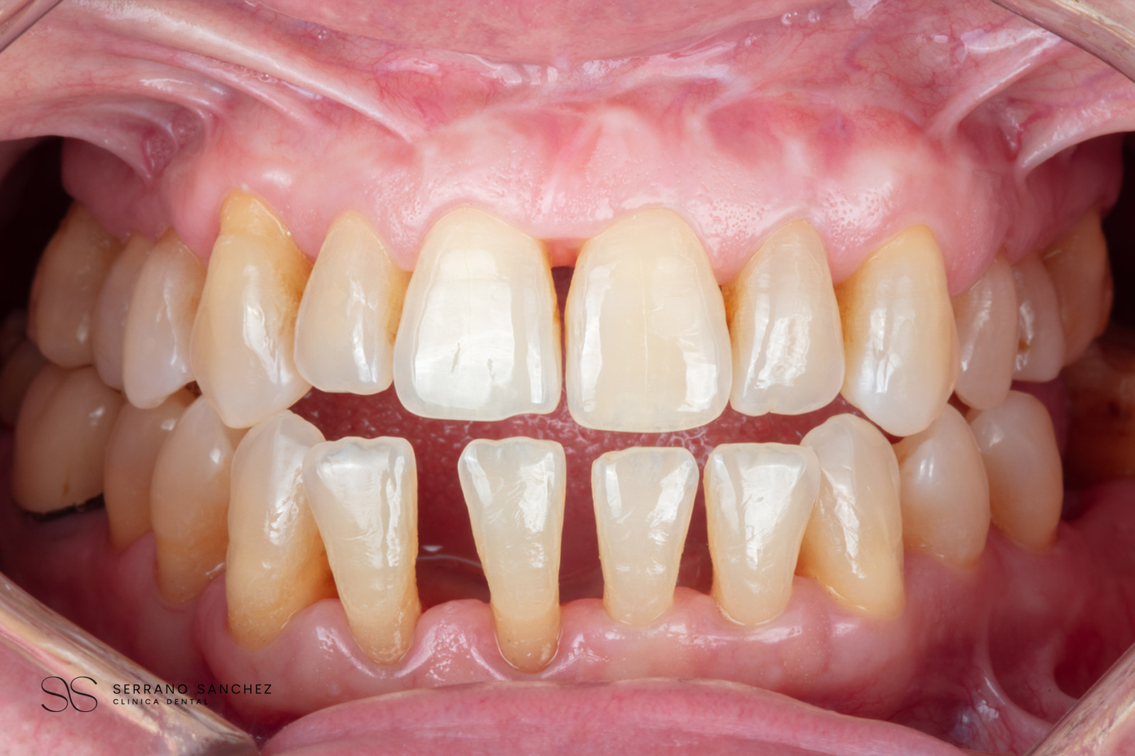
Caso 5: Tratamiento periodontal (Periodontitis)
Antes
Después





