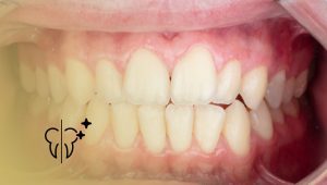
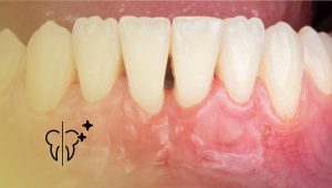
Here, you can explore transformative dental stories that highlight the impact of our treatments, helping patients regain their confidence and achieve healthy smiles. Through comparative images and descriptions, we showcase how our team of specialists has enhanced both oral health and aesthetics. These cases illustrate our clinic’s commitment to excellence and quality in dental care.
Case 1: Aesthetic Rehabilitation
Before
After
Case 2: Aesthetic Rehabilitation
Before
After
Case 3: Aesthetic Rehabilitation
Before
After
Case 4: Aesthetic Rehabilitation
Before
After





