En Clínica Dental Serrano Sánchez nos enorgullecemos de ofrecer un enfoque integral y multidisciplinar para abordar los problemas dentales más complejos. Hoy queremos compartir la historia de una paciente que llegó a nuestra clínica buscando una segunda opinión después de que en otra clínica le recomendaran la extracción de varios dientes debido a una periodontitis avanzada, y la paciente estaba preocupada por las consecuencias estéticas y funcionales de perder varios dientes.
Este caso demuestra cómo la colaboración entre nuestros especialistas permitió salvar dichos dientes y restaurar completamente la salud y la estética dental de la paciente.
Evaluación inicial
La primera consulta fue realizada por nuestro director médico y especialista en Periodoncia e Implantes, el Dr. Serrano, quien llevó a cabo una evaluación exhaustiva, mediante una revisión detallada del historial dental de la paciente, radiografías y un examen clínico para evaluar el estado de las encías y la pérdida ósea.

Plan de tratamiento multidisciplinar
Después de la evaluación inicial, decidimos abordar el caso de manera conservadora y multidisciplinaria. Se diseñó un plan de tratamiento integral que involucraba a varios de nuestros especialistas.
Fase 1: Tratamiento Periodontal
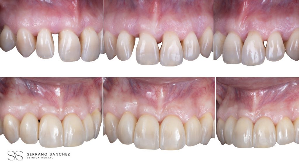
El Dr. Serrano inició el tratamiento con una fase de descontaminación y limpieza profunda (raspado y alisado radicular) para eliminar las bacterias y el sarro debajo de las encías. Se programaron varias sesiones de seguimiento para controlar la respuesta de las encías al tratamiento inicial.
En una 2º fase, se realizó tratamiento periodontal avanzado, mediante cirugías de regeneración periodontal, recuperando el hueso perdido en los dientes con más afectación.
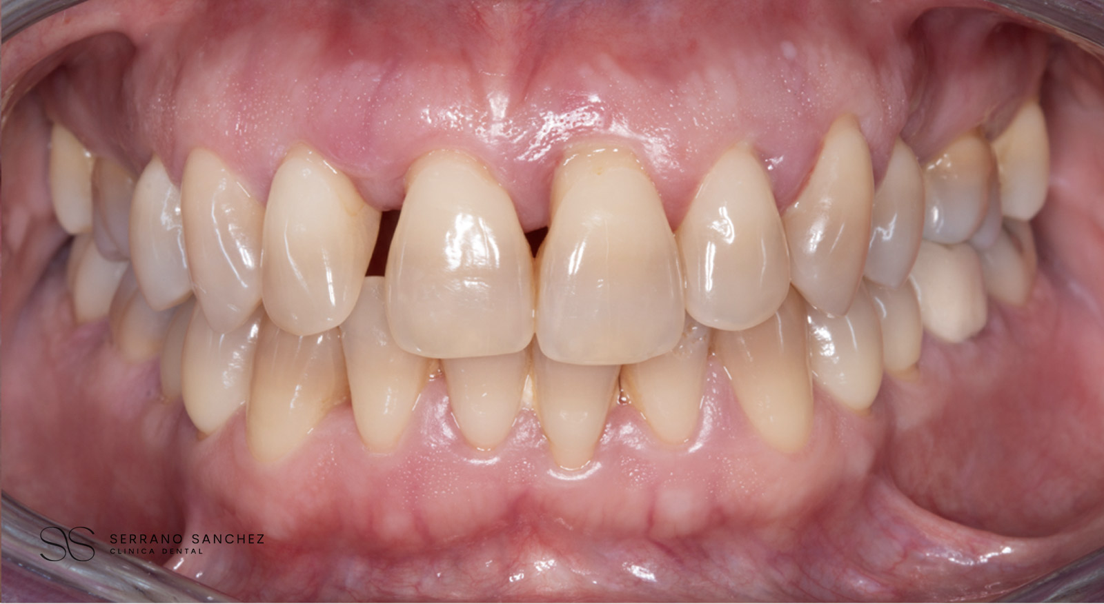
Fase 2: Corrección de la mordida y alineación
Una vez estabilizada la salud periodontal, evaluamos la mordida y la alineación de los dientes, no sólo con fines estéticos, si no para permitirnos mantener la salud periodontal conseguida en la primera fase. Utilizando brackets, corregimos la mordida y mejoramos la distribución de las fuerzas oclusales, lo que redujo el riesgo de progresión de la periodontitis y mejoró la estética dental.
Fase 3: Restauración y estética dental
Una vez estabilizada la salud periodontal, evaluamos la mordida y la alineación de los dientes, no sólo con fines estéticos, si no para permitirnos mantener la salud periodontal conseguida en la primera fase. Utilizando brackets, corregimos la mordida y mejoramos la distribución de las fuerzas oclusales, lo que redujo el riesgo de progresión de la periodontitis y mejoró la estética dental.

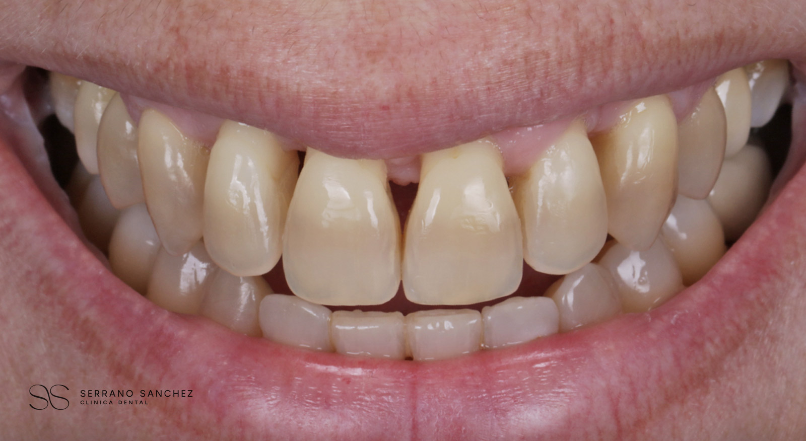
Fase 4: Implantes dentales
Finalmente, el Dr. Serrano colocó un implante dental, en una zona con una ausencia que la paciente tenía desde hace años. Este proceso involucró una planificación cuidadosa y la colocación del implante, seguidos por la colocación de la corona definitiva.
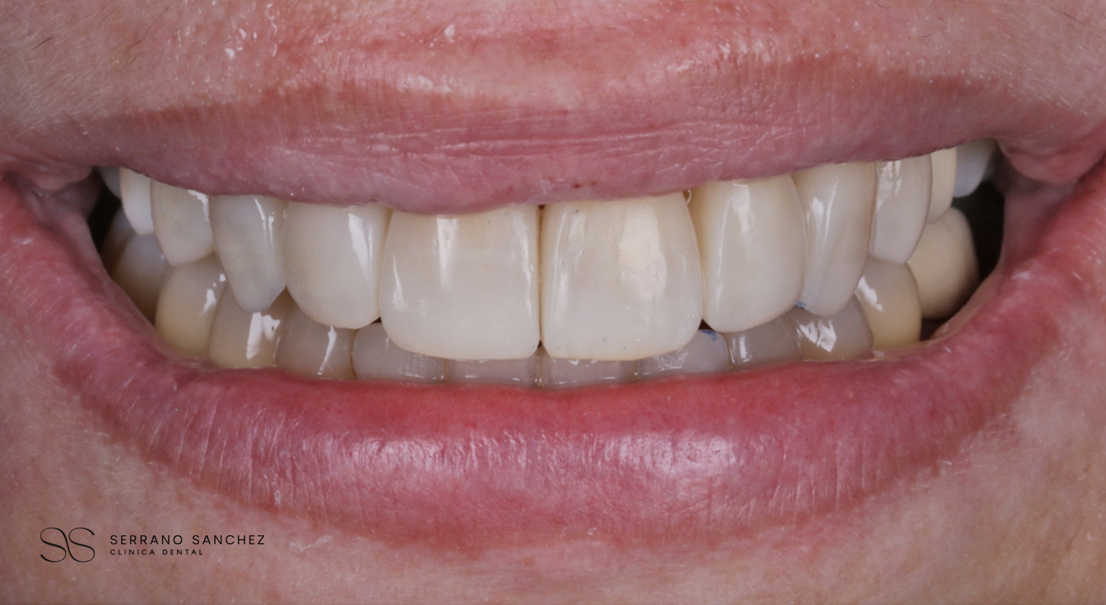
Resultados
El tratamiento multidisciplinar resultó en una boca completamente rehabilitada, con encías sanas, una mordida correcta y una estética dental mejorada.
Conclusión
El tratamiento multidisciplinar resultó en una boca completamente rehabilitada, no sólo manteniendo dientes que tenía miedo de perder, sino con encías sanas, una mordida correcta y una estética dental mejorada.
La posibilidad de conservar sus dientes naturales y mejorar significativamente la estética de su sonrisa ha incrementado su confianza y bienestar. La paciente se mostró encantada de haber elegido nuestra clínica para su tratamiento, valorando especialmente tanto el trato humano y cercano, como la dedicación y profesionalidad de nuestros especialistas.


