Here, you can explore transformative dental stories that highlight the impact of our treatments, helping patients regain their confidence and achieve healthy smiles. Through comparative…
Here, you can explore transformative dental stories that highlight the impact of our treatments, helping patients regain their confidence and achieve healthy smiles. Through comparative…
Here, you can explore transformative dental stories that highlight the impact of our treatments, helping patients regain their confidence and achieve healthy smiles. Through comparative…
Here, you can explore transformative dental stories that highlight the impact of our treatments, helping patients regain their confidence and achieve healthy smiles. Through comparative…
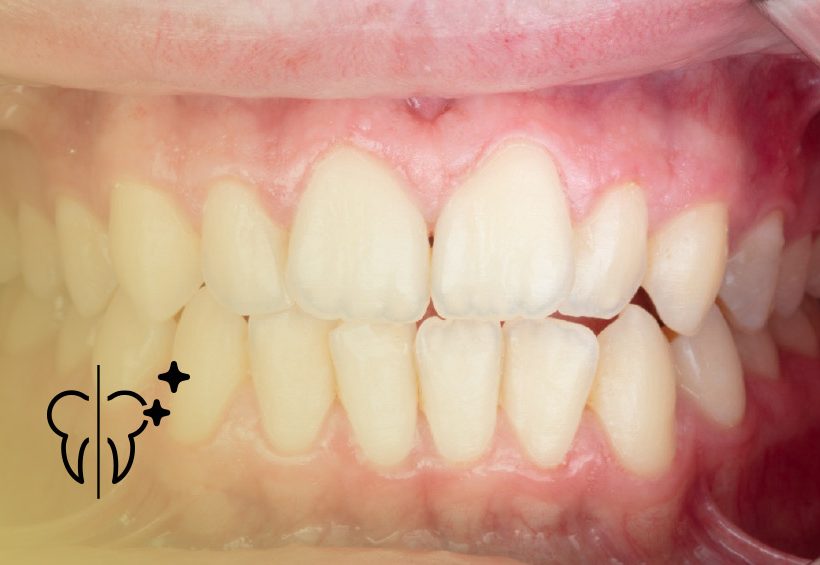
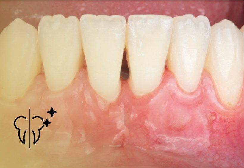
At Clínica Dental Serrano Sánchez, we pride ourselves on providing an integrated and multidisciplinary approach to address complex dental issues. Today, we share the story…

