Here, you can explore transformative dental stories that highlight the impact of our treatments, helping patients regain their confidence and achieve healthy smiles. Through comparative images and descriptions, we showcase how our team of specialists has enhanced both oral health and aesthetics. These cases illustrate our clinic’s commitment to excellence and quality in dental care.
Case 1: Periodontal Treatment
Before / After
Case 2: Periodontal Treatment
Before / After
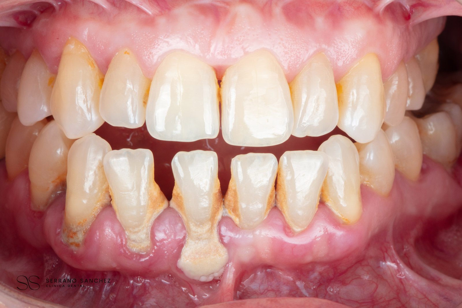
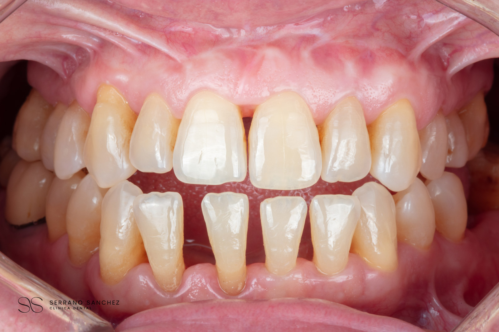
Case 3: Periodontal Treatment
Before
After


